A fogfehérítés napjainkban világszerte egyre népszerűbb, hiszen a gyönyörű, világos fogak minden korosztálynak fontosak. Magyarországon számos lehetőség áll rendelkezésre: az otthoni fehérítő módszerektől a fogorvosi rendelőkben végzett professzionális kezelésekig. Bár az alapelv hasonló, nem minden módszer egyformán megbízható.
Fontos kiemelni: az orvos által kontrollált kezelések biztonságosak és hatékonyak, míg a drogériákban vagy interneten vásárolt, nem professzionális termékek előre nem látható kellemetlenségeket okozhatnak, és gyakran hatástalanok.

Otthoni sínes rendszerek
Az otthoni fehérítéshez a legmegbízhatóbbak a Discus Dental NiteWhite és DayWhite sínes rendszerei, amelyeket nappal vagy éjszaka lehet használni. A fogorvos által elkészített egyedi sínbe helyezve a NiteWhite-ot éjszaka, a DayWhite-ot nappal kétszer kell viselni.
A fehérítés időtartama körülbelül 2–3 hét, ezalatt kerülni kell a dohányzást és a színes ételeket, italokat (pl. cola, vörösbor, paprikás ételek). Bár ez nagy elhatározást és némi lemondást igényel, az eredmény fantasztikus és tartós.

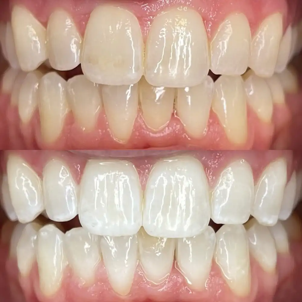
Rendelői lámpás fehérítés – a ZOOM! AP rendszer
A rendelői ZOOM! lámpás eljárás gyors és kényelmes megoldás. Mindössze 1 óra alatt akár 8 árnyalattal világosabb fogak érhetők el. Itt is fontos kerülni a színes ételeket, italokat és a dohányzást rövid ideig, de a kezelés gyorsasága és kényelme miatt az eredmény azonnal látható.
Ez a módszer ideális azoknak, akik azonnali hatást szeretnének, és hajlandóak a professzionális kezelés árát megfizetni.
Melyik módszert válasszam?
- Otthoni sínes kezelés – azoknak ajánlott, akik kitartóak és tudják naponta/éjszakánként használni a sínt. A végeredmény hasonló, mint a lámpás eljárás, de néhány hét alatt érhető el.
- Rendelői ZOOM! lámpás kezelés – gyors, kényelmes, azonnali eredményt ad, különösen azoknak, akik rövid idő alatt szeretnének látványos változást.

A sínes rendszerek elsősorban fenntartó kezelésekhez ideálisak, a lámpás rendszerrel elért fehérség hosszú távon is megőrizhető megfelelő szájhigiénia mellett.
Mire figyeljünk a fehérítés során?
- Néhány páciens átmeneti fogérzékenységet tapasztalhat, ami a kezelés után egy-két napon belül megszűnik.
- Az érzékenység megelőzhető a Relief gél használatával, naponta kétszer minimum egy hétig a fehérítés előtt, és utána még 2 napig.
- Az étkezési szokások és életmód nagyban befolyásolják a végeredményt és annak tartósságát. Évente 1–2 fenntartó otthoni sínes kezelés segíthet megtartani a ragyogó fehérséget.
A professzionális fogfehérítés biztonságos és látványos eredményt nyújt, legyen szó otthoni sínes vagy rendelői lámpás módszerről. A választásnál mindig érdemes a fogorvos szakvéleményét figyelembe venni, hiszen így érhető el a lehető legjobb, tartós és kíméletes eredmény.
A ZOOM! lámpás rendszer részletes leírását és további információkat a www.zoomfeherites.hu oldalon találhatják.